Phẫu thuật robot cho người bệnh bướu thận lớn, có huyết khối bướu
Các bác sĩ Bệnh viện Bình Dân vừa thực hiện thành công phẫu thuật robot cắt trọn bướu thận lớn có huyết khối bướu lan sâu 76 mm trong tĩnh mạch chủ.
Đây là trường hợp có huyết khối bướu lớn nhất, được thực hiện bằng phẫu thuật robot hoàn toàn mà không cần phối hợp với mổ mở lấy huyết khối bướu như trước đây.
Ung thư biểu mô tế bào thận (RCC): một vấn đề sức khỏe cần quan tâm
Ung thư biểu mô tế bào thận (RCC) là loại ung thư được chẩn đoán phổ biến thứ sáu ở nam giới và thứ mười ở nữ giới. Theo một công bố năm 2022, ước tính có 434.840 ca mắc ung thư biểu mô tế bào thận mới và 155.953 ca tử vong trên toàn thế giới. Tỷ lệ mắc đang gia tăng, người lớn tuổi có tỷ lệ mắc cao hơn. Tỷ lệ tử vong do ung thư biểu mô tế bào thận cao nhất ở Châu Âu và Châu Á.

Ung thư biểu mô tế bào thận có huyết khối bướu tĩnh mạch ghi nhận ở 4%–10% bệnh nhân. Theo phân độ Mayo, có thể chia huyết khối bướu tĩnh mạch từ độ I đến độ IV, tùy theo vị trí bờ trên của huyết khối bướu. Theo các hướng dẫn điều trị quốc tế mới nhất, phẫu thuật là phương pháp điều trị ban đầu cho nhóm bệnh nhân này. Phẫu thuật cắt bỏ toàn bộ thận kết hợp lấy huyết khối bướu được Hội Tiết niệu Châu Âu (EAU) khuyến cáo.
Nếu không được điều trị kịp thời, bệnh nhân có thể có triệu chứng rất nặng, phù nề nghiêm trọng, rối loạn chức năng tim và đau bụng. Phẫu thuật có thể làm tăng tỷ lệ sống sót tổng thể và cải thiện đáng kể chất lượng cuộc sống. Tuy nhiên, các phương pháp phẫu thuật đòi hỏi kỹ thuật cao, tỷ lệ biến chứng lớn lên tới 34% nếu huyết khối bướu lan xa trên tĩnh mạch gan. Do đó, những bệnh nhân này nên được điều trị tại các bệnh viện chuyên khoa sâu có nhiều ngành phối hợp.
Đặc biệt, do can thiệp vào tĩnh mạch lớn, cần trang bị hệ thống tuần hoàn ngoài cơ thể và cần nhiều kinh nghiệm gây mê hồi sức để kiểm soát chặt chẽ huyết động trong lúc phẫu thuật. Với những trường hợp ung thư biểu mô tế bào thận có huyết khối bướu mức độ thấp, phẫu thuật xâm lấn tối thiểu đang phát triển nhanh vài năm gần đây. Phẫu thuật robot là bước tiến mới, giúp giảm mất máu và giảm thời gian nằm viện cho bệnh nhân.
Một trường hợp cụ thể được điều trị bằng phẫu thuật robot
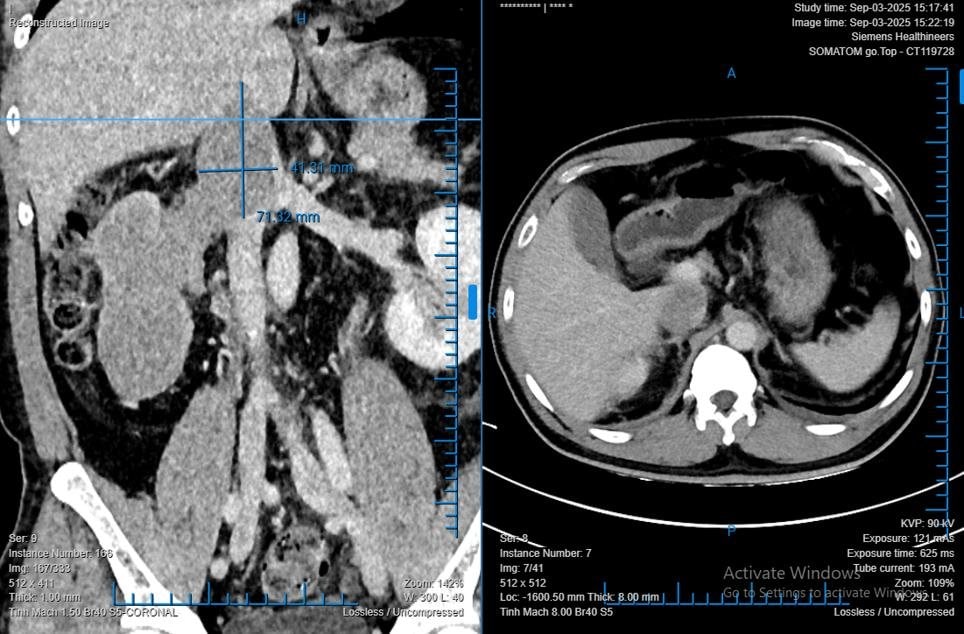
Anh T.D.L (48 tuổi, quê Quảng Trị), phát hiện bướu thận tình cờ trong lần khám sức khỏe định kỳ. Được các bác sĩ địa phương giới thiệu, anh tìm đến Bệnh viện Bình Dân để phẫu thuật. Qua chẩn đoán hình ảnh, khối bướu chiếm gần toàn bộ thận phải, có kích thước 68 x 86 x 138 mm; huyết khối bướu lan sâu vào tĩnh mạch thận và tĩnh mạch chủ dưới. Bệnh nhân có nguy cơ tử vong, nếu không được can thiệp kịp thời.
.jpg)
Ca mổ kéo dài 8 giờ liên tục với sự phối hợp của 4 ê-kíp bác sĩ chuyên khoa tiết niệu, gan mật, tim – mạch máu và gây mê hồi sức. Các bác sĩ lần lượt di động gan, bộc lộ tĩnh mạch chủ đoạn sau gan, cắt bỏ toàn bộ thận phải cùng huyết khối bướu trong tĩnh mạch. Khác với phương pháp truyền thống cần phối hợp mổ mở để lấy huyết khối bướu, ca mổ của anh L. đã được thực hiện hoàn toàn bằng phẫu thuật robot.
Nhờ kinh nghiệm đã từng thực hiện hàng trăm ca cắt thận có robot hỗ trợ, TS.BS. Phạm Phú Phát đã phẫu thuật thành công cho người bệnh. Hơn nữa, lượng máu mất chỉ 600 ml, không cần truyền máu và giữ được toàn bộ đoạn tĩnh mạch chủ cho người bệnh. Sau mổ, người bệnh hồi phục tốt, được cắt chỉ và xuất viện sau 10 ngày. Người bệnh cần tái khám định kỳ để kiểm tra chức năng thận còn lại, nguy cơ ung thư phát triển bên thận còn lại, nguy cơ ung thư tái phát tại chỗ, di căn xa và các vấn đề tim mạch.
TS.BS. Phạm Phú Phát – Trưởng Khoa Niệu A, Bệnh viện Bình Dân – chia sẻ: “Đây là trường hợp ung thư biểu mô tế bào thận (RCC) có huyết khối bướu lên đến 76 mm, lớn nhất trong số các trường hợp mà tôi từng phẫu thuật. Một báo cáo tại Hoa Kỳ cũng ghi nhận chiều dài huyết khối bướu lớn nhất là hơn 70 mm. Với kinh nghiệm phẫu thuật robot và sự phối hợp đa chuyên ngành, chúng tôi đã lấy huyết khối bướu hoàn toàn bằng phẫu thuật robot.”
Tiên lượng thời gian sống trung bình của người bệnh chỉ khoảng 5 tháng nếu không điều trị kịp thời. Anh L. cho biết thêm: “Tôi năm nay 48 tuổi, là trụ cột trong gia đình, nên cuộc phẫu thuật rất có ý nghĩa với tôi và gia đình. Chỉ ngay trước nhập viện 1 ngày, tôi đã tổ chức lễ cưới cho con và sắp xếp các công việc quan trọng”. Là một người công tác trong ngành giáo dục, anh L. mong nhiều người hiểu biết và phát hiện sớm để điều trị kịp thời.
Phát hiện sớm, điều trị kịp thời
TS.BS. Phạm Phú Phát cho biết: “Ung thư biểu mô tế bào thận giai đoạn sớm có thể phát hiện bằng siêu âm, khi kích thước khối bướu chỉ 1–3 cm. Nếu phát hiện sớm, điều trị thuận lợi, tiên lượng tốt và chi phí thấp hơn rất nhiều so với phát hiện muộn.” Đây là căn bệnh thường tiến triển âm thầm, ít triệu chứng ở giai đoạn đầu. Như trường hợp như người bệnh nêu trên, anh được phát hiện tình cờ qua siêu âm khi khám sức khỏe.
Vấn đề phát hiện sớm ung thư biểu mô tế bào thận hiện nay ngày càng được quan tâm. Siêu âm có khả năng phát hiện tốt, chi phí thấp và không đau khi thực hiện. Tuy nhiên, khả năng phát hiện của siêu âm phụ thuộc kích thước khối u và kinh nghiệm của bác sĩ thực hiện. Những đối tượng có nguy cơ cao cần đến các bệnh viện có kinh nghiệm để khám sức khỏe định kỳ kết hợp tầm soát.
.jpg)
Từ cuối năm 2016, Bệnh viện Bình Dân là nơi đầu tiên triển khai phẫu thuật robot cho người trưởng thành tại Việt Nam. Phẫu thuật robot mang lại lợi thế lớn nhờ độ chính xác cao, tầm nhìn ba chiều phóng đại, thao tác linh hoạt ở những phẫu trường sâu và hẹp trong cơ thể. Phương pháp này giúp bác sĩ tiếp cận chính xác khối bướu, giảm mất máu và rút ngắn thời gian hồi phục.
Từ năm 2021, cắt thận tận gốc và lấy huyết khối bướu có robot hỗ trợ đã được triển khai tại Bệnh viện Bình Dân. Đến nay, tổng cộng có 7 trường hợp đã được thực hiện thành công, sức khỏe của các người bệnh sau phẫu thuật đều hồi phục tốt. Ứng dụng phẫu thuật robot hoàn toàn như trên đã đánh dấu một bước tiến mới trong điều trị ung thư biểu mô tế bào thận có bướu huyết khối cho người bệnh tại Việt Nam.

