Ca mổ dài 2,5 giờ cắt khối u gan nằm sát tĩnh mạch chủ dưới
Các bác sĩ Bệnh viện Quân y 175 vừa phẫu thuật thành công cho người bệnh mắc khối u gan nằm ở vị trí đặc biệt phức tạp, chen giữa nhiều mạch máu quan trọng của gan.
Ông N.V.S (63 tuổi, Đồng Nai) có tiền sử viêm gan B và hút thuốc lá nhiều năm. Đầu năm 2024, trong một lần khám sức khỏe tổng quát tại TP.HCM, siêu âm gan phát hiện một tổn thương nhỏ (dạng chấm trắng) và được khuyến cáo theo dõi định kỳ.
Một năm sau, khi tái khám, siêu âm ghi nhận khối bất thường tại gan. Kết quả chụp cộng hưởng từ (MRI) cho thấy khối u kích thước khoảng 4 cm.

Người bệnh sau đó đã đến khám tại cơ sở y tế khác và được bác sĩ tư vấn điều trị bằng phương pháp không phẫu thuật do khối u nằm ở vị trí phức tạp. Tuy nhiên, gia đình người bệnh vẫn mong muốn được phẫu thuật cắt bỏ khối u.
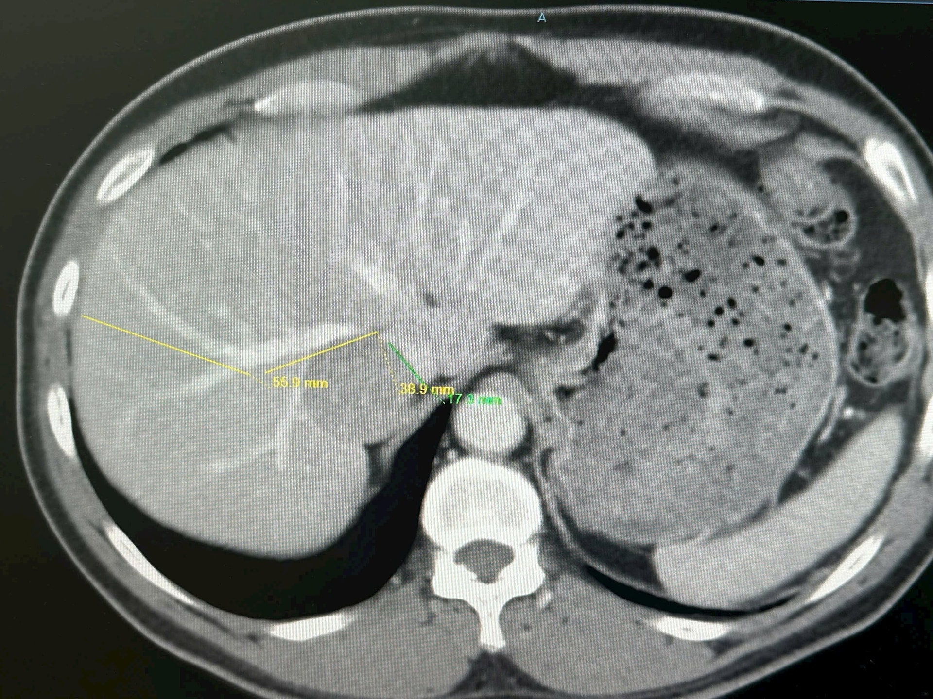
Sau đó, người bệnh đến Bệnh viện Quân y 175 để tiếp tục thăm khám và điều trị. Qua các xét nghiệm và chẩn đoán hình ảnh chuyên sâu, bác sĩ xác định khối u gan kích thước khoảng 4 cm nằm ở vị trí hiểm hóc, bị bao quanh và chèn ép nhiều mạch máu quan trọng của gan, đặc biệt là tĩnh mạch gan và tĩnh mạch chủ dưới.

Việc tiếp cận và cắt bỏ hoàn toàn khối u trở nên rất khó khăn, chỉ cần một sai sót nhỏ trong quá trình phẫu thuật cũng có thể gây rách mạch máu lớn, đe dọa trực tiếp tính mạng người bệnh.
Sau khi tiến hành hội chẩn đa chuyên khoa, các bác sĩ Bệnh viện Quân y 175 đã xây dựng phương án phẫu thuật chi tiết. Nhiều kỹ thuật chẩn đoán hình ảnh hiện đại được sử dụng nhằm đánh giá chính xác mối liên quan giữa khối u và hệ thống mạch máu, đồng thời chuẩn bị chiến lược kiểm soát mạch máu chặt chẽ để đảm bảo an toàn tối đa cho người bệnh.

Ca phẫu thuật do ê-kíp phẫu thuật gan mật của bệnh viện thực hiện. Sau hơn 2,5 giờ phẫu thuật, các bác sĩ đã cắt bỏ hoàn toàn khối u. Những mạch máu quan trọng như tĩnh mạch gan phải và tĩnh mạch chủ dưới được bảo tồn an toàn, không ghi nhận biến chứng trong quá trình mổ.
Sau phẫu thuật, người bệnh hồi phục tốt, chức năng gan ổn định, diễn tiến hậu phẫu thuận lợi và được xuất viện sau một tuần điều trị.

ThS.BS.CKI Nguyễn Văn Mạnh - Trưởng đơn vị Phẫu thuật Gan - Mật - Tụy, người trực tiếp thực hiện ca mổ - cho biết phẫu thuật cắt bỏ triệt để hiện vẫn là phương pháp điều trị mang lại hiệu quả cao đối với u gan. Tuy nhiên, với những khối u nằm ở vị trí hiểm hóc và sát các mạch máu lớn, việc tiếp cận và cắt u an toàn là thách thức lớn đối với phẫu thuật viên.
Thành công của ca phẫu thuật tiếp tục cho thấy năng lực chuyên môn và sự phối hợp hiệu quả của đội ngũ bác sĩ Bệnh viện Quân y 175 trong xử trí các ca bệnh khó, phức tạp.

