Bệnh nhân được đưa vào cấp cứu tại bệnh viện ở địa phương và được chẩn đoán đứt chân mống mắt, tăng nhãn áp, xuất huyết tiền phòng sau chấn thương đụng dập (CTĐD).
Bệnh nhân được chỉ định điều trị ngoại trú và có giảm đau nhức nhưng thị lực vẫn chưa cải thiện nhiều. Do tình trạng mắt không ổn kéo dài, bệnh nhân đã đến khám tại Bệnh viện Chợ Rẫy.
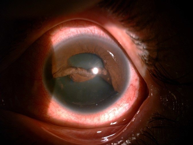
Mống mắt bị đứt và cuộn lại sau khi bệnh nhân bị vòi xít nước bắn vào mắt.
Tại Bệnh viện Chợ Rẫy, khám lâm sàng và các kết quả cận lâm sàng cho thấy bệnh nhân bị đứt chân mống rộng, tăng nhãn áp, đục lệch T3 sau chấn thương đụng dập.
BSCKII Ngô Văn Hồng, Trưởng khoa Mắt bệnh viện Chợ Rẫy cho biết, CTĐD nhãn cầu là chấn thương do vật tù tác động vào nhãn cầu với lực mạnh và nhanh, thường gặp trong các tai nạn sinh hoạt như khui champange, khui nắp bia, đứt dây thun ràng xe, tennis, cầu lông, bị đánh bằng nắm đấm, hoặc té ngã…
Chấn thương này ảnh hưởng đến chức năng thị giác như: giảm thị lực, song thị, chói sáng, sợ ánh sáng, ảnh hưởng về mặt thẩm mỹ như đa đồng tử, đồng tử lạc chỗ.
BSCKII Ngô Văn Hồng khuyến cáo, đứt chân mống mắt là tổn thương thường gặp trong CTĐD nhãn cầu, chấn thương nhãn cầu xuyên thấu và các phẫu thuật nội nhãn khác.
Theo một số báo cáo của hội nhãn khoa Hoa Kỳ, đứt chân mống mắt chiếm tỉ lệ 9,3% - 14% trong CTĐD nhãn cầu và khoảng 39,9% các trường hợp chấn thương mắt nói chung.
Đứt chân mống mắt có thể gây ra các vấn đề về chức năng và thẩm mỹ cho bệnh nhân. Các triệu chứng cơ năng như lóa và nhìn đôi, ảnh hưởng về mặt thẩm mỹ như đa đồng tử, đồng tử lạc chỗ…
Bệnh nhân C.V.Đ là một trong những trường hợp tổn thương nặng, phức tạp đứt chân mống mắt rộng gần 6 cung giờ ở phía nữa dưới, mống mắt bị đứt cuộn dính vào nhau và vào mặt trước thủy tinh thể, kết hợp với đục và bán lệch T3, tăng nhãn áp.
Ekip phẫu thuật đã xử trí đồng thời các tổn thương trong suốt 1 giờ đồng hồ phẫu thuật. Đây được xem là trường hợp tổn thương đứt chân mống mắt do CTĐD nhãn cầu nặng nhất được điều trị thành công tại khoa Mắt của Bệnh viện Chợ Rẫy

