Bệnh viện Chấn thương Chỉnh hình "tiếp sức" y tế tuyến tỉnh
Trong hai ngày 11 và 12/4/2026, đoàn chuyên gia đầu ngành từ Bệnh viện Chấn thương Chỉnh hình (BV CTCH) đã có chuyến công tác hỗ trợ chuyên môn hiệu quả tại Bệnh viện Đa khoa (BVĐK) tỉnh Khánh Hòa. Đặc biệt, chuyến đi đã để lại dấu ấn đậm nét với ca phối hợp phẫu thuật thành công cho nạn nhân trong vụ tai nạn giao thông nghiêm trọng tại đèo Hòn Bà.
Theo Bs.CKII Võ Hòa Khánh - Phó Giám đốc BV CTCH, chuyến công tác cuối tuần qua quy tụ đội ngũ chuyên gia dày dạn kinh nghiệm. Đảm nhận vai trò trưởng đoàn là Bs. Khánh, cùng sự góp mặt của các bác sĩ đầu ngành: TS.BS Phan Đức Minh Mẫn (Nguyên Trưởng khoa Nhi), Bs.CKII Trần Đăng Khoa (Trưởng khoa Chi dưới) và Bs.CKII Tống Xuân Vũ (Phó Trưởng khoa Vi phẫu Tạo hình).
.jpg)
Tại BVĐK Khánh Hòa, đoàn đã tập trung hỗ trợ chuyên môn ở hàng loạt lĩnh vực chuyên sâu như: vi phẫu tạo hình, chỉnh hình nhi, nội soi, thay khớp và kết hợp xương phức tạp. Chỉ trong hai ngày ngắn ngủi, các bác sĩ đã tiến hành thăm khám cho gần 100 bệnh nhân và trực tiếp thực hiện phẫu thuật 23 trường hợp.
Đây đều là những ca bệnh có độ khó cao, bao gồm: thoái hóa khớp gối nặng, hoại tử chỏm xương đùi, gãy xương phức tạp ở cả người lớn và trẻ em, đứt dây chằng chéo trước, khuyết hổng phần mềm bàn tay, bàn chân, cùng nhiều dị tật bẩm sinh ở trẻ nhỏ. Được biết, công tác chuyển giao và hỗ trợ chuyên môn này là một trong những hoạt động được duy trì thường xuyên giữa hai bệnh viện.

Một trong những điểm đáng chú ý nhất trong đợt công tác lần này là sự phối hợp nhịp nhàng giữa tuyến trung ương và địa phương trong công tác cấp cứu.
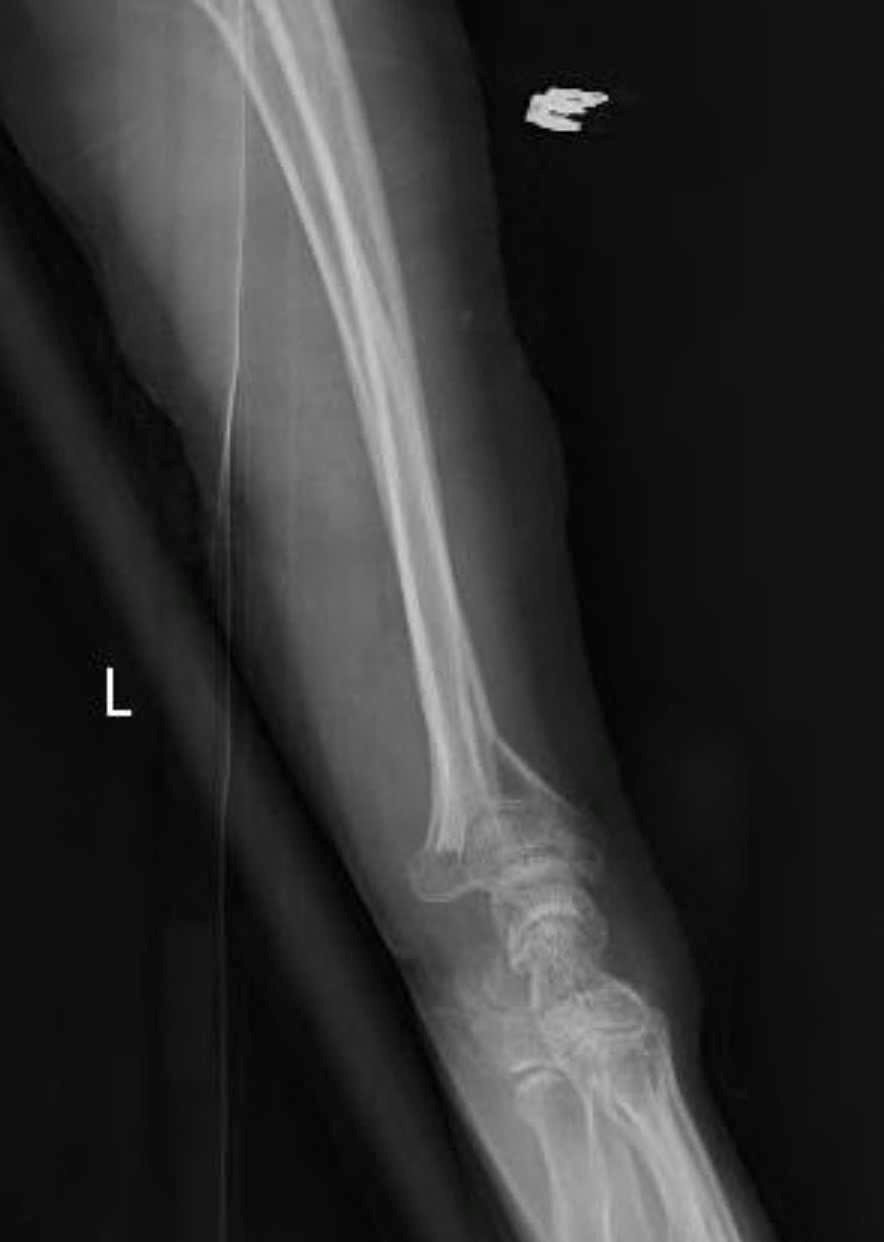
Bs.CKII Phạm Đình Thành - Phó Giám đốc Trung tâm CTCH - Bỏng (thuộc BVĐK Khánh Hoà) cho biết, đoàn chuyên gia đã phối hợp cùng các bác sĩ của Trung tâm tiến hành phẫu thuật thành công cho một bệnh nhân đa chấn thương nghiêm trọng. Đây là nạn nhân trong vụ tai nạn lật xe xảy ra vào ngày 10/4/2026 tại đèo Hòn Bà. Bệnh nhân nhập viện trong tình trạng gãy nhiều xương phức tạp, cụ thể là gãy nát lồi cầu đùi và gãy nát đầu dưới xương quay hai bên. Nhờ sự can thiệp kịp thời và trình độ chuyên môn cao của ê-kíp phối hợp, ca phẫu thuật đã diễn ra tốt đẹp.

Bên cạnh công tác khám chữa bệnh, chuyến đi còn mang ý nghĩa lớn về mặt đào tạo nhân lực y tế thế hệ kế cận. Đoàn chuyên gia đã trực tiếp hướng dẫn lâm sàng, truyền đạt kinh nghiệm khám bệnh thực tế cho các sinh viên Y khoa năm thứ 6 đến từ Trường Đại học Y Dược Buôn Ma Thuột và Trường Đại học Tây Nguyên đang thực tập tại đây.
Đánh giá về năng lực của y tế tuyến địa phương, Bs.CKII Võ Hòa Khánh nhấn mạnh: "Ban Giám đốc BVĐK Khánh Hòa hiện nay rất chú trọng đầu tư vào chuyên môn. Đội ngũ y bác sĩ tại Trung tâm CTCH của bệnh viện đều có trình độ cao (Bs.CKII, Bs.CKI, Thạc sĩ...) và đã hoàn toàn làm chủ được rất nhiều kỹ thuật mới, hiện đại về thay khớp, nội soi, vi phẫu tạo hình cũng như chỉnh hình nhi".
Sự kết hợp chặt chẽ, thường xuyên giữa BV CTCH và BVĐK Khánh Hòa không chỉ trực tiếp giải quyết những ca bệnh khó ngay tại tuyến tỉnh, giảm tải cho tuyến trên, mà còn là bước đi mang tính xây dựng lâu dài trong việc nâng cao chất lượng khám chữa bệnh, mang lại sự an tâm cho người dân địa phương.

